【健康科普】脑出血,是开颅手术好?还是微创好?
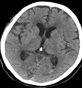
近日,常德市第二人民医院神经外科收治了一名神志昏迷2+小时的脑出血老年女性患者。面对“脑出血”这一诊断,患者家属表现出极大的担忧与无助。患者是否还有救?康复后能否正常生活?应采取保守治疗还是手术治疗?若选择手术,微创或开颅哪种更为适宜?这些问题都落在了负责该患者的管床医生、主治医师蔡英波的肩上。在安抚家属情绪的同时,蔡英波明确表示:“您母亲目前的情况必须手术。根据入院CT结果,我们可以选择微创手术治疗。”

(患者发病时头部CT)
患者在手术后神智已经清醒,术后15天已恢复至发病前的正常生活自理状态,目前正接受高压氧康复治疗。

(患者术后10天头部CT)
(术后患者与儿子合影)
脑出血,到底是什么病?
我们一般所说的脑出血指的是脑实质出血,发生在基底核区、丘脑、小脑、脑干等部位,主要是高血压脑出血(HICH),一般需排除外伤、动脉瘤和AVM等血管病,以及肿瘤、血液系统疾病等继发性出血。这部分占出血性卒中的大部分(70%-80%),具有高发病率、高病死率、高致残率、高复发率的特点。其中高血压是第一位病因,用力过猛、气候变化、饮酒、情绪激动、过度劳累等为诱发因素。本病发病大多数较急,冬季较多,表现为偏瘫、偏身感觉障碍和偏盲(三偏),以及头痛、呕吐、言语不清、甚至出现意识障碍,呼之不应等症状。
此时应在现场简单紧急处理后尽快送有救治条件的医院。同时进行生命体征监测,以及意识状况、瞳孔大小及肢体活动的动态评估;并清理呼吸道,保持呼吸道通畅,建立静脉通道,尽快行头部CT检查。
脑出血诊断明确后,有哪些关键的治疗措施?
脑出血是急性起病,诊断一旦明确,就需要尽快确定治疗方案。首先确定是否需要手术?如果不考虑手术或手术之前,应该有哪些非手术治疗措施?脑出血是急诊,也是重症,其非手术治疗措施或保守治疗也是治疗中重要一环。治疗首要原则是保持安静,稳定血压,防止继续出血,根据情况适当降低颅内压、防止脑水肿,维持水电解质平衡、血糖、体温平衡;同时加强呼吸道管理及护理,预防及防止各种颅内及全身并发症。其中最重要的是血压的管理,因为它是再出血的关键点。其他方面,生命体征、内环境及并发症需进行多方位监护,对血糖、体温、癫痫、感染、血栓形成等行针对性处理。
如果手术,是选择开颅还是微创?
脑出血外科处理的主要目标在于及时清除血肿、解除脑压迫、缓解严重颅内高压及脑疝、挽救患者生命,并尽可能降低由血肿压迫导致的继发性脑损伤和残废。脑出血的外科治疗核心在于如何应用最小的有创技术最安全、最大程度地清除血肿。面对血肿,开颅手术和微创手术各有优缺点,而随着微创定位方式的精确性和可视性的提高,微创手术适应症逐渐扩大。
脑出血的治疗是一个系统工程,除了急性期治疗外,更应强调康复、预防和健康管理。脑出血的二级预防主要针对患者的具体病因,如高血压、糖尿病、动脉粥样硬化、吸烟及高脂血症等有针对性的干预。
(来源:神经外科 蔡英波)


