【医院动态】常德市第二人民医院成功救治一例 罕见鹦鹉热肺炎患者
常德市第二人民医院成功救治一例
罕见鹦鹉热肺炎患者
(感染科 卓娅)
近日,常德市第二人民医院感染科成功救治了一例鹦鹉热肺炎的患者。60岁的李伯伯因突发双耳听力下降,来到常德市第二人民医院就诊,接诊医生仔细询问病史及生命体征监测,发现患者已反复高热10余天,精神极差。立即安排肺部CT检查并邀请感染科医生会诊。影像报告提示患者存在肺炎,且考虑鹦鹉衣原体可能。感染科医师详细询问患者,患者虽无饲养鹦鹉、鸽子等情况,但有饲养鸡鸭,且卫生条件极差。根据流行病学史、临床表现及影像学资料,高度提示患者存在鹦鹉热肺炎的可能,病情较重,遂转入感染科进行更全面、更深入的治疗。
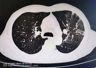
患者入院时的影像资料
感染科主任肖蓉认真分析了患者的病情,及时针对鹦鹉热衣原体选择针对性抗生素治疗的同时,为患者安排纤支气管镜行肺泡灌洗术。这种诊疗术可以获取患者肺泡灌洗液样本,通过分析样本中的细胞成分和微生物种类,最终确诊患者感染的病原体,缩短确诊时间,提高抗感染治疗成功率。两天后结果显示患者肺泡灌洗液存在鹦鹉热衣原体,从而明确了鹦鹉热衣原体肺炎的诊断。
患者复查后的影像资料
经过一段时间的治疗,患者的病情得到了有效控制,体温逐渐恢复正常,咳嗽等症状也明显减轻,现已康复出院。
患者好转出院
鹦鹉热是一种人畜共患的传染病,主要由革兰阴性菌胞内寄生的鹦鹉热衣原体引起。首先从鹦鹉体内分离出来,随后在其他鸟类、家禽中均有发现。该病原体通过受感染鸟类、家禽的尿液、粪便及其他排泄物排出。人类通过吸入鹦鹉热衣原体污染的气溶胶致病,可出现发热、肌痛、咳嗽、胸痛、呼吸困难等症状。若不及时进行病因治疗,病情易快速进展,致多器官功能衰竭,甚至危及生命。
感染科主任肖蓉提醒广大群众:需接触禽鸟类的人员要提高自我防护意识,保持良好的个人卫生习惯。如出现发热、咳嗽等症状时,应及时就医。此外,对于家中饲养鸟类、禽类的人员,要定期为其进行健康检查,预防疾病的传播。
常德市第二人民医院感染科咨询电话:0736–7312569


